Wurzelbehandlung, Endodontie
Ist ein Zahn kariös tief zerstört oder traumatisiert kann der Zahnnerv irreversibel geschädigt werden. Der Zahn muss dann normalerweise gezogen werden.
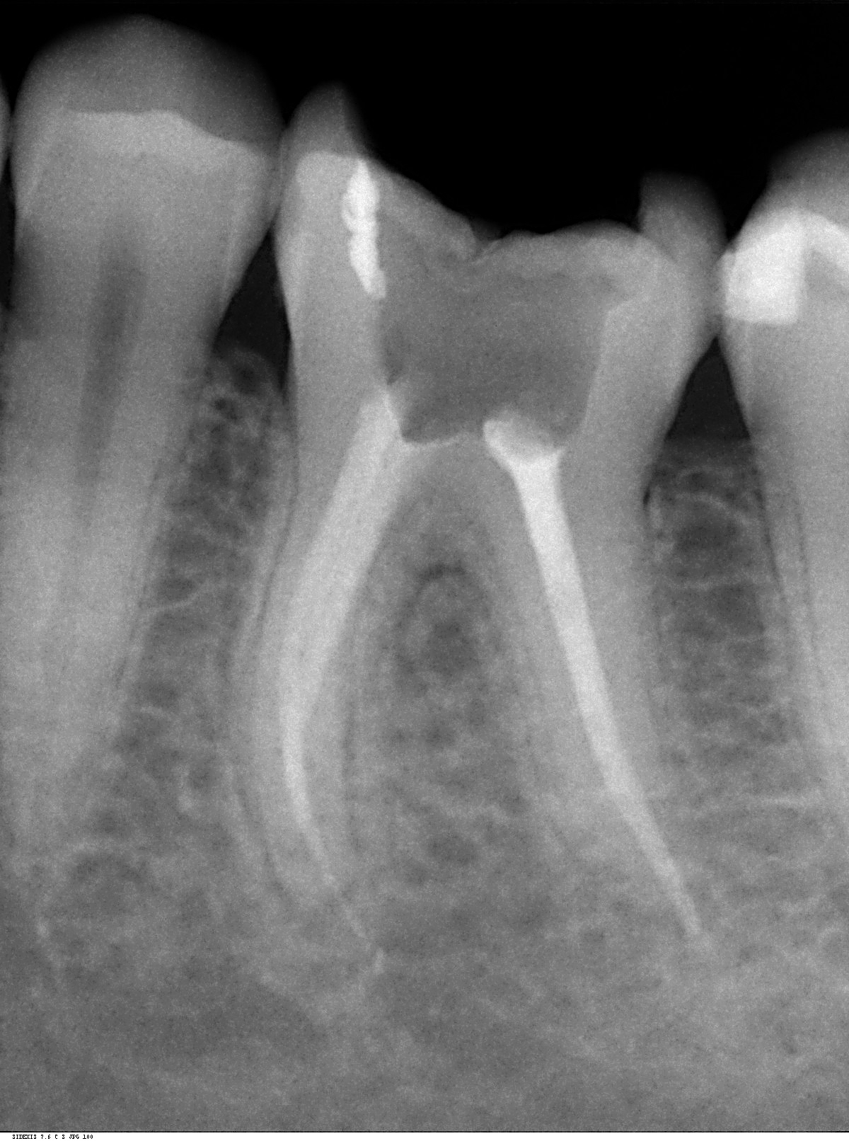
Durch eine Wurzelbehandlungen kann der geschädigte Zahn in seiner Funktion erhalten werden.
In der Behandlungsfolge wird der Wurzelkanal eröffnet, erweitert, gereinigt und abschließend mit einer Wurzelfüllpaste bakteriendicht verschlossen.
Im Rahmen der modernen Endodontie kommen in unserer Praxis besondere Maßnahmen wie die elektronische Wurzelvermessung und die maschinelle Wurzelkanalaufbereitung mit speziellen Feilen zum Einsatz.




